Program aims to help researchers with growing family caregiving responsibilities due to pandemic
School of Medicine receives grant aimed at retaining clinical scientists (Links to an external site)
Program aims to help researchers with growing family caregiving responsibilities due to pandemic
The Department of Medicine, in an effort to support the professional development of women within the department, sponsored several faculty and trainees to attend virtual conferences, including the WIMSummit, September, 2021 and the Harvard Medical School Career Advancement and Leadership Skills for Women in Healthcare conference, November, 2021. Both conferences delivered a variety of professional […]
Recognized for commitment to medical education, training residents
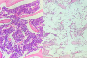
Method, in mice, can eliminate need for chemotherapy, radiation, in treating blood cancers, other diseases
Karen Joynt Maddox’s career as a health policy researcher sparked from an initial interest to affect change in the world around her. Today, Joynt Maddox, MD, MPH, associate professor with the Cardiovascular Division and Co-Director of the Center for Health Economics and Policy at the Institute for Public Health at Washington University, is doing just […]
Study suggests older drug may be safer for an advanced form of heart failure
Pulmonologist recognized by Robert Wood Johnson Foundation
Many inflammatory disorders are linked to an overactive NLRP3 inflammasome due to increased cell death and production of inflammatory cytokines. In some cases, targeting the pyroptosis (an inflammatory form of cell death) pore forming unit GSDMD alleviates these disorders, but the direct role of GSDMD during sustained NLRP3 inflammasome activation is unclear. Using various knockout […]
Grant funds development of ‘living factories’ to produce antibodies, anti-nerve agents
Eight researchers at Washington University in St. Louis have received funding from the Longer Life Foundation, a cooperative effort between Washington University School of Medicine and the Reinsurance Group of America.
Sponsored by the Academy of Educators, the School of Medicine’s Education Day was held on Tuesday, October 5, 2021. The event featured a variety of educational topics, a celebration of new inductees to the Academy of Educators and education-focused award recipients, followed by a networking session to wrap up the day. Education Day is held […]
Congratulations to Monica Chang-Panesso, MD, Assistant Professor of Medicine, Division of Nephrology, who was selected as the first recipient of the Roger M. Perlmutter Career Development Professorship.
A cross-discipline team of School of Medicine and Department of Medicine researchers have published, “Breast cancer-derived GM-CSF regulates arginase 1 in myeloid cells to promote an immunosuppressive microenvironment” in The Journal of Clinical Investigation. The team of researchers found that breast cancer cells secrete lactic acid and a signaling protein, GM-CSF. GM-CSF in the acidic […]
Elusive senescent cells are subject of new national research consortium
Michael Diamond, MD, PhD and Daved Fremont, PhD recently had a paper published in the journal Nature. The paper describes how Venezuelan equine encephalitis virus (VEEV) interacts with its receptor, LDLRAD3. This is important because VEEV is an emerging mosquito-borne virus that causes fast-spreading outbreaks. There are no good therapies or preventives for VEEV encephalitis, and figuring […]
Findings could lead to better therapies for respiratory syncytial virus infection
Richards, Laidlaw, Orvedahl, Shmuylovich chosen for their innovative research projects
Available, FDA-approved drugs may be effective in targeting about 80% of never-smokers’ lung tumors
This episode of ‘Show Me the Science’ focuses on where we are and where we’re headed with COVID-19, from the perspective of 2 top experts in infectious diseases
Will study how chikungunya virus causes chronic disease
This episode of ‘Show Me the Science’ highlights how stay-at-home orders changed the initial trajectory of the pandemic
Now several months into the new role of Vice Chair of Education for the Department of Medicine, I am thrilled to continue to get to know you, your programs and your trainees! The Department of Medicine residency and fellowship program directors and coordinators continue to impress at our monthly meetings where we share best practices, […]
Delays in implementing public health orders likely would have resulted in many more hospitalizations, deaths
In mouse study, rewired cells automatically release biologic drug in response to inflammation
Attention to kidneys important part of post-COVID-19 care
However, people treated for autoimmune conditions produce weaker responses than healthy people
Study points to mechanism of post-viral lung damage; suggests targets of intervention
Recognized for expertise in quality improvement, teamwork, care transitions
Could form basis of universal therapy, vaccines for alphaviruses
Findings help explain why vaccinated people at low risk during delta surge
Research program investigates link between viral infections, memory problems
$8.8 million to fund research into interaction of specific genes with demographic, lifestyle factors
Smartphone system complements traditional contact tracing
Bone and mineral disease specialist will serve 5 years in post
The CTSA program was developed to accelerate new treatments from the lab to patients, enabled to a large extent by patients participating in and benefiting from clinical trials. Clinical trials provide that needed bridge from human subjects to hypotheses to treatments that can directly benefit human health. And, never has this connection been more critical […]
This episode of ‘Show Me the Science’ looks at how doctors have tried to protect themselves, their babies and their patients during the pandemic.
Dean, Faculty Practice Plan celebrate staff for research and operations support, clinical service
Cardiologist’s research focuses on how immune system contributes to heart failure
Many people, including me, have experienced a sense of gratitude and relief after receiving the new COVID-19 mRNA vaccines. But all of us are also wondering how long the vaccines will remain protective against SARS-CoV-2, the coronavirus responsible for COVID-19.
Sales of antibiotics soar as threat of drug-resistant bacteria worsens
Effective against blood cancers, natural killer cells also may be effective against solid tumors
Vaccines likely induce strong, persistent immunity to COVID-19
Combination therapies appear to prevent emergence of drug resistance
Retrospective study also indicates outcomes of critically ill patients in ICU improve when given antibodies from recovered COVID-19 patients
Program supports doctors who want to conduct basic science research
Targeted therapy shrank tumors, shows promise in improving survival
Nanofiber device allows insulin to be released while defending against immune cells
Such data now available to university researchers, could help speed research
Physician-scientist was a pioneer in mass spectrometry research
The Alpha Omega Alpha Executive and Selection committees announce the new faculty, alumni and house officers to the Alpha Omega Alpha Honor Medical Society Class of 2021. AΩA is the honor medical society recognizing, advocating for, and inspiring physicians in the care of patients and promotion of health. Members may be elected throughout their career […]