Department of Medicine Clinic Director Adapts FEMA Guidelines in Light of COVID-19
Just six weeks on the job, Jennifer Schmidt, MD, medical director at the Washington University Complete Care Clinic, found herself preparing to cope with the demands of COVID-19. As a trained clinician, she turned to guidelines, and has adapted the Federal Emergency Management Agency’s Incident Command System to manage the clinic’s operations during this fast-changing […]
Match Day 2020 goes virtual (Links to an external site)
Reluctantly, faculty and students at Washington University School of Medicine in St. Louis added social distancing to this year’s Match Day, the celebrated annual milestone when U.S. medical students learn where they will train as residents after graduation. For the medical school’s 2020 class of 118 physicians-to-be, as well as for hundreds of medical […]
Possible COVID-19 treatment: transfusion of antibodies from recovered patients’ blood (Links to an external site)
With no drugs or vaccines yet approved for COVID-19 and the number of U.S. cases increasing by the thousands every day, doctors are looking to revive a century-old therapy for infectious diseases: transfusing antibodies from the blood of recovered patients into people who are seriously ill. During the Spanish flu pandemic of 1918, doctors were […]
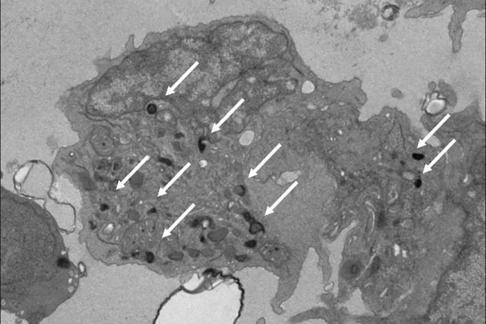
Immunotherapy using ‘young cells’ offers promising option against cancer (Links to an external site)
Immunotherapy that involves treating cancer with the body’s own immune cells, or those of a matched donor, shows promise in clinical trials for some patients, but not all. A new study from Washington University School of Medicine in St. Louis suggests that the age of certain immune cells used in such therapy plays a role […]
Dr. Rim Hasan joins the Department of Medicine
Dr. Rim Hasan joined the Department of Medicine in the Division of Endocrinology, Metabolism and Lipid Research as an Instructor on September 1, 2019. From 2004 to 2011, she attended Medical School at Damascus University in Syria. She then joined the Knowledge Synthesis Program at Mayo Clinic in Rochester, Minnesota, first as a research trainee […]
Dr. Brian Muegge joins the Department of Medicine
Dr. Muegge was born and raised in Springfield, Missouri. He earned his undergraduate degree in Chemistry at Princeton University. Dr. Muegge received his M.D. and Ph.D. degrees from Washington University School of Medicine in 2013, where he studied the role of diet in shaping the structure and function of the mammalian gut microbiome in the […]
Dr. Julia Lopez joins the Department of Medicine
Dr. Julia López joined the Department of Medicine in the Division of Infectious Diseases in February, 2020. Dr. López is a public health researcher who uses her clinical practice skills to further advance the field of sexual health using public health and social work theories and frameworks. To date, she has worked to integrate her […]
Breast milk may help prevent sepsis in preemies (Links to an external site)
A component of breast milk may help protect premature babies from developing sepsis, a fast-moving, life-threatening condition triggered by infection. Researchers at Washington University School of Medicine in St. Louis and Mayo Clinic in Rochester, Minn., have found — in newborn mice — that a molecule called epidermal growth factor in breast milk activates receptors […]
WashU in the News: MSNBC The Beat With Ari Melber – Coronavirus (Links to an external site)
Coronavirus Information from Dr. Hilary Babcock (Links to an external site)
Dr. Hilary Babcock, an infectious disease specialist at Washington University School of Medicine and BJC’s director of infection prevention, shares some important information about coronavirus.
WashU in the News: KMOV Ask the Expert – Coronavirus (Links to an external site)
So many questions are surfacing regarding the Coronavirus so we called in Dr. Hilary Babcock from Barnes-Jewish Hospital to answer them once and for all.
National Hospitalist Day
Division of Hospital Medicine celebrating National Hospitalist Day.
School of Medicine physicians, researchers tackle coronavirus (Links to an external site)
Soon after a novel coronavirus first appeared in China in late 2019, researchers, doctors and staff at Washington University School of Medicine in St. Louis began preparing for the possibility of an outbreak. Infectious disease physicians started planning how to respond if a person with suspected exposure to the virus arrived on campus, and researchers […]
DOM Insider Volume 3
In this Issue: Letter from the Chair, Divisional Spotlight, Research, Education and Clinical News, Future Workforce in Medicine, New Faculty, Leadership, Awards/Grants/Honors, In the News, A Closer Look, Upcoming Events, Funding, Epic Update, and Division Fellowship Match List
Immune cells play surprising role in heart, mouse study suggests (Links to an external site)
New research in mice suggests that certain immune cells may help guide fetal development of the heart and play a role in how the adult heart beats, according to new research at Washington University School of Medicine in St. Louis. The findings, published in the journal JCI Insight, may help lay a foundation for immunotherapies […]
Dr. Rajaa Almourani joins the Department of Medicine
Dr. Rajaa Almourani joined the Department of Medicine in the Division of Endocrinology in August, 2019. Dr. Almourani’s journey with medicine started at the University of Damascus School of Medicine in 2001. Following her completion as a medical student in 2007, Dr. Almourani continued her medical education as a resident in the Damascus University Hospital […]
Dr. Amber Afzal joins the Department of Medicine
Dr. Amber Afzal joined the Department of Medicine in the Division of Hematology as an Instructor in July, 2019. Dr. Afzal graduated from medical school (Army Medical College in Pakistan) in 2010 as the class valedictorian. She completed her Internal Medicine residency at Cleveland Clinic, Ohio in 2016. She graduated from her Hematology and Oncology […]
Radiation therapy for colon cancer works better when specific protein blocked (Links to an external site)
Researchers at Washington University School of Medicine in St. Louis appear to have discovered a way to make radiation therapy for colorectal cancer more effective by inhibiting a protein found in cancer cells in the gut. The approach also helps protect healthy tissue from the negative effects of radiation. Studying cells, mice and tumor samples […]
Revving up immune system may help treat eczema (Links to an external site)
The aggravating skin condition eczema is most commonly treated by suppressing the immune system, but not all patients get relief. Now, a drug strategy aimed at revving up the immune system and boosting a type of immune cell known as natural killer cells appears, at least in mice, to effectively treat eczema. The innovative approach, […]
Diabetes in mice cured rapidly using human stem cell strategy (Links to an external site)
Researchers have converted human stem cells into insulin-producing cells and demonstrated in mice infused with such cells that blood sugar levels can be controlled and diabetes functionally cured for nine months. The findings, from researchers at Washington University School of Medicine in St. Louis, are published online Feb. 24 in the journal Nature Biotechnology. “These […]
Dr. Patricia Prusaczyk joins the Department of Medicine
Dr. Patricia Prusaczyk joined the Department of Medicine in the Division of General Medical Sciences in August, 2019. Dr. Prusaczyk is trained in medical informatics and in dissemination and implementation research. She has joined the Institute for Informatics and the Division of GMS as a junior faculty member working with Randi Foraker. Dr. Prusaczyk will […]
Dr. Monique Bruinsma joins the Department of Medicine
Dr. Monique Bruinsma joined the Department of Medicine in the Division of Hospital Medicine as an Instructor on November 1, 2019. Dr. Bruinsma earned her medical degree from Washington University in St. Louis in 2016. While in medical school, she also earned a Master of Science in Immunology with research focus on the inflammatory response […]
Dr. Jennifer Schmidt joins the Department of Medicine
Dr. Jennifer Schmidt joined the Department of Medicine in the Division of General Medicine as an Assistant Professor in February, 2020. Dr. Jennifer Schmidt is a general internist and a medical educator with expertise in quality improvement, patient safety, clinical operations and patient access. She received her undergraduate degree in biomedical engineering from Marquette University […]
Dr. Erin Bakanas joins the Department of Medicine
Dr. Erin Bakanas joined the Department of Medicine in the Division of Palliative Medicine as a Professor on August 1, 2019. She received her Bachelor’s degree in Biochemistry from Wesleyan University in Middletown, CT and graduated from The University of Connecticut School of Medicine in 1987. She completed a residency in Internal Medicine at The […]
Dr. Patrick Lyons joins the Department of Medicine
Dr. Patrick Lyons joined the Department of Medicine in the Division of Pulmonary and Critical Care Medicine as an Instructor in January, 2020. Dr. Lyons is an intensivist and physician-scientist with research interests in clinical research informatics, biostatistics, healthcare delivery, and learning health systems. His current research involves (1) creation, evaluation, and implementation of risk […]
Dr. Daniel Paget joins the Department of Medicine
Dr. Daniel Paget joined the Department of Medicine as an Instructor in Medicine for the Division of Palliative Medicine in September 2019. He was born and raised in New York, NY. Dr. Paget did his undergraduate education at Oberlin College/Conservatory where he received dual degrees in Opera and Biochemistry. While he had a great love […]
Dr. Maureen Lyons joined the Department of Medicine
Dr. Maureen Lyons joined the Department of Medicine in the Division of General Medicine as an Assistant Professor in January, 2020. Dr. Lyons is a general internist and a medical educator with expertise in curriculum development, leadership training, and ambulatory medical education topics. She earned her M.D. from the University of Chicago Pritzker School of […]
Fight against endometrial cancer boosted with new molecular road map (Links to an external site)
A new study that reveals the dozens of molecular changes that bring about endometrial cancer offers insight into how physicians might be able to better identify which patients will need aggressive treatment and why a common treatment is not effective for some patients. The study appears Feb. 13 in the journal Cell. Funded by the […]
Dr. Jonathan Sheehan joins the Department of Medicine
Dr. Jonathan Sheehan joined the Department of Medicine in the Division of Infectious Diseases as Associate Professor in August, 2019. Dr. Sheehan earned his Ph. D. degree in Biochemistry with Walter Chazin at Vanderbilt University, studying calcium-binding proteins using NMR (Nuclear Magnetic Resonance) and protein design. He completed post-doctoral training in computational structural biology with […]
Dr. Spencer Willet joins the Department of Medicine
Dr. Spencer Willet joined the Department of Medicine in the Division of Gastroenterology as an Instructor in October, 2019. Dr. Willet grew up in Franklin, Tennessee and attended The University of Tennessee at Knoxville for his undergraduate studies, matriculating to Vanderbilt University for his doctorate training. Dr. Willet earned his PhD in developmental biology at […]





























