News Research The DOM Insider Research and Publications

Specific brain signals rapidly eliminate body fat in mice

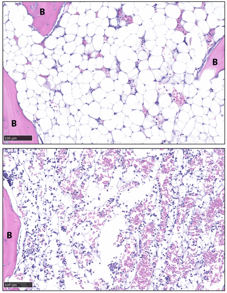
Fat cells called stable adipocytes (shown in white in the top image) were depleted completely from the bone (B) in mice after nine days of treatment, as shown in the bottom image. (Image courtesy of the Scheller lab)
View Content

Researchers at WashU Medicine have identified a potent pathway that begins in the brain and leads to loss of all body fat without reducing food intake.