News Research Research and Publications

Cells ‘vomit’ waste to promote healing, mouse study reveals

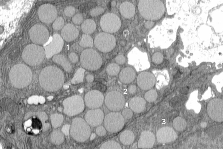
A new study from WashU Medicine identifies a previously unknown way that cells purge waste in a process that helps them revert to a stem cell-like state to promote healing after injury. Here, three mouse stomach cells (numbered) are shown jettisoning cellular debris through cavities (white) that form in their membranes. The researchers dubbed the new purging process “cathartocytosis,” combining Greek root words meaning cellular cleansing. (Image: Jeffrey Brown/WashU Medicine)
View Content

When injured, cells have well-regulated responses to promote healing. These include a long-studied self-destruction process that cleans up dead and damaged cells as well as a more recently identified phenomenon that helps older cells revert to what appears to be a younger state to help grow back healthy tissue.